Langsung ke konten
Menu
Identif
  • Beranda
  • Bansos
  • Bisnis
  • Loker
  • Lifestyle
  • Pendidikan
  • Tutorial
  • Olahraga
  • Teknologi
  • Resep
Identif
  • Beranda
  • Bansos
  • Bisnis
  • Loker
  • Lifestyle
  • Pendidikan
    • Strategi Pembelajaran
    • RPP
    • Soal
  • Tutorial
  • Olahraga
    • SepakBola
  • Teknologi
    • Gadget
    • Media Sosial
    • Samsung
  • Resep

Info Viral

5 Penyedia Domain Terbaik di Indonesia untuk Tahun 2025: Mana yang Paling Worth It?
5 Penyedia Domain Terbaik di Indonesia untuk Tahun 2025: Mana yang Paling Worth It?
Apple iPhone 16: Smartphone Canggih dengan Performa Super di 2024
Apple iPhone 16: Smartphone Canggih dengan Performa Super di 2024
Cara Memasukkan Kode Voucher Shopee: Panduan Lengkap
Cara Memasukkan Kode Voucher Shopee: Panduan Lengkap
Rahasia Diet Artis India Kushboo Sundar: Turun 20 Kg dan Tampil Awet Muda di Usia 50-an
Rahasia Diet Artis India Kushboo Sundar: Turun 20 Kg dan Tampil Awet Muda di Usia 50-an
Panduan Lengkap Memasukkan Nomor Telepon di WhatsApp
Panduan Lengkap Memasukkan Nomor Telepon di WhatsApp
Teks Takbiran Idul Fitri Lengkap dan Terjemahannya
3 Cara Mudah Mengetahui Siapa Saja yang Terhubung ke Jaringan WiFi Anda
3 Cara Mudah Mengetahui Siapa Saja yang Terhubung ke Jaringan WiFi Anda
Cara Mudah Mengisi Kode Keamanan PPDB Online
Cara Mudah Mengisi Kode Keamanan PPDB Online

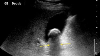
cara membaca hasil USG

Cara Membaca Hasil USG Batu Empedu: Panduan Langkah demi Langkah

Cara Membaca Hasil USG Batu Empedu: Panduan Langkah demi Langkah

Identif
Pendidikan | •13 min read

Olahraga

  • Hati Emas Marquinhos: Sebelum Pesta PSG, Ada Pelukan Tulus untuk Sang Lawan yang Patah Hati
    Hati Emas Marquinhos: Sebelum Pesta PSG, Ada Pelukan Tulus untuk Sang Lawan yang Patah Hati
  • Drama Adu Penalti! PSG Gemparkan Eropa, Pertahankan Takhta Liga Champions dalam Laga Epik!
    Drama Adu Penalti! PSG Gemparkan Eropa, Pertahankan Takhta Liga Champions dalam Laga Epik!
  • Veda Ega Bikin Sejarah? Sensasi MotoGP Italia Hari Ini: Jangan Lewatkan Aksinya di Moto3!
    Veda Ega Bikin Sejarah? Sensasi MotoGP Italia Hari Ini: Jangan Lewatkan Aksinya di Moto3!
  • Terungkap! Taktik Jenius Luis Enrique Redam Arsenal di Final UCL, Siap Hancurkan The Gunners?
    Terungkap! Taktik Jenius Luis Enrique Redam Arsenal di Final UCL, Siap Hancurkan The Gunners?
  • Kutukan Alex Lanier Hantui Alwi Farhan di Singapore Open 2026: Ada Apa dengan Pertemuan Keenam Ini?
    Kutukan Alex Lanier Hantui Alwi Farhan di Singapore Open 2026: Ada Apa dengan Pertemuan Keenam Ini?

Pendidikan

  • KKM Kelas 5 Semester 1 Revisi 2020 Panduan Lengkap
    KKM Kelas 5 Semester 1 Revisi 2020 Panduan Lengkap
  • RPP Kelas 5 Semester 2 Kurikulum 2013 Revisi 2018 Panduan Lengkap
    RPP Kelas 5 Semester 2 Kurikulum 2013 Revisi 2018 Panduan Lengkap
  • Perangkat Pembelajaran Agama MI Kurikulum 2013 Revisi 2017
    Perangkat Pembelajaran Agama MI Kurikulum 2013 Revisi 2017
  • Silabus SD Kelas 1 Semua Mata Pelajaran Panduan Lengkap untuk Guru
    Silabus SD Kelas 1 Semua Mata Pelajaran Panduan Lengkap untuk Guru
  • Prota Kelas 5 Kurikulum 2013 Revisi 2018 Panduan Lengkap
    Prota Kelas 5 Kurikulum 2013 Revisi 2018 Panduan Lengkap

Teknologi

  • TERKUAK! Rahasia Robot 20 Kaki Duke University: Desain Paling Sempurna di Dunia?
    TERKUAK! Rahasia Robot 20 Kaki Duke University: Desain Paling Sempurna di Dunia?
  • Sensasi Gaming Maksimal Murah Meriah! Lenovo LOQ Tebar Monitor ‘Killer’ Mulai Rp1 Jutaan!
    Sensasi Gaming Maksimal Murah Meriah! Lenovo LOQ Tebar Monitor ‘Killer’ Mulai Rp1 Jutaan!
  • Revolusi Internet Rumah: Deco X50-5G Buang Kabel, Rasakan Kecepatan 5G Tanpa Batas!
    Revolusi Internet Rumah: Deco X50-5G Buang Kabel, Rasakan Kecepatan 5G Tanpa Batas!
  • TERBONGKAR! Xiaomi Diam-diam Rilis Senjata Rahasia Audio Global: Redmi Headphones Neo Siap Guncang Dunia!
    TERBONGKAR! Xiaomi Diam-diam Rilis Senjata Rahasia Audio Global: Redmi Headphones Neo Siap Guncang Dunia!
  • HEBOH! Meme Arne Slot Dipecat Liverpool Viral, Xabi Alonso ke Chelsea? Fakta Terungkap!
    HEBOH! Meme Arne Slot Dipecat Liverpool Viral, Xabi Alonso ke Chelsea? Fakta Terungkap!

Tutorial

  • Cara Menghapus Paket Indosat yang Sudah Habis Panduan Lengkap dan Efektif
    Cara Menghapus Paket Indosat yang Sudah Habis Panduan Lengkap dan Efektif
  • Cara Membuat Mahkota Burung Dadali Panduan Lengkap untuk Pemula dan Ahli
    Cara Membuat Mahkota Burung Dadali Panduan Lengkap untuk Pemula dan Ahli
  • Cara Membuat Halaman di Word Otomatis Panduan Lengkap untuk Dokumen Profesional
    Cara Membuat Halaman di Word Otomatis Panduan Lengkap untuk Dokumen Profesional
  • Cara Membuat Slime dari Lem Pofinal Panduan Lengkap & Kreasi Tak Terbatas
    Cara Membuat Slime dari Lem Pofinal Panduan Lengkap & Kreasi Tak Terbatas
  • Cegah Hamil di Luar Nikah: Panduan Komprehensif untuk Remaja dan Dewasa Muda
    Cegah Hamil di Luar Nikah: Panduan Komprehensif untuk Remaja dan Dewasa Muda

Popular Posts

  • 1
    Cara Memasukkan Kode Voucher Shopee: Panduan Lengkap
  • 2
    Panduan Lengkap Memasukkan Nomor Telepon di WhatsApp
  • 3
    Cara Mudah Mengisi Kode Keamanan PPDB Online
  • 4
    Cara Memasukkan Nomor Telepon di WhatsApp: Panduan Langkah demi Langkah
  • 5
    Pendidikan Indonesia: Tantangan, Peluang, dan Masa Depan
  • Redaksi
  • Tentang Kami
  • Kontak
  • Disclaimer
  • Term of Service
  • Kebijakan Privasi
  • Pedoman Media Siber
© 2026 Identif
  • Beranda
  • Bansos
  • Bisnis
  • Loker
  • Lifestyle
  • Pendidikan
  • Tutorial
  • Olahraga
  • Teknologi
  • Resep